
Invisalign in Coopers Plains – Discreet Orthodontics
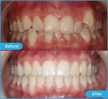
If you are unhappy with your crooked smile, then perhaps now might be the time to consider teeth straightening with Invisalign®. Patients like the fact that no-one needs to know they are undergoing orthodontic care.
Unlike fixed wire and bracket braces, Invisalign technology utilises a series of clear removable (invisible) aligners throughout the teeth straightening process in order to gradually move teeth into their correct positions.
If you’d like to know more about Invisalign treatment in Qld and whether it’s suitable for you, book an appointment with our caring experienced dentist today.

Invisalign in Coopers Plains – How Does it Work?
Having decided that Invisalign is a suitable treatment for you, a customised treatment plan will be prepared.
This involves creating a digital model of your mouth and teeth using state-of-the-art 3D scanners. From this, our dentists can map out the tooth movements needed to shift your teeth to their correct positions. Even better, thanks to the wonders of dental technology, she can show you how your new completed smile will look before you even begin.
Each set of aligners is worn over the teeth like a mouthguard and moves teeth by approximately 0.25mm at a time. Every couple of weeks, your aligners will be discarded and replaced with the next in the series. By the time your last set of aligners have been worn, your teeth will be straight and even.
What Can Invisalign Treat
Generally, Invisalign treatment is recommended for mild to moderate dental problems such as:
- Gapped teeth
- Underbites, Overbites
- Open bite
- Crossbite
- Crowded teeth
- Misalignments
The more complex your alignment process, the more aligners you will need. This, in turn, means treatment will be longer and will cost more.
On average, Invisalign treatment time for adults is around 12 -18 months, although you should start seeing results in a few weeks.
While Invisalign in Coopers Plains is a great alternative to fixed braces, it does require a commitment on your part since they need to be worn for a minimum of 22 hours a day. While missing an hour here and there won’t make much difference, if you continue to wear them for less than the allotted time, it will seriously jeopardise your orthodontic rehabilitation.
